
![]()
その日のうちに取り外しがいらない歯に
All-on-4(オールオンフォー)とは

All-on-4(オールオンフォー)は、歯をすべて失った患者様にインプラントの埋入手術を行い、その日のうちに仮義歯にしっかり固定することで、手術当日から食事も可能になるという画期的なインプラント治療法です。
以前は、歯をすべて失った方がインプラント治療を行う際には、上下顎ともに6~10本のインプラントが必要とされていました。そして、しっかり噛めるようになるまでの治療期間は、インプラント手術から約3~6ヶ月かかり、治療費もとても高額なものであったため、インプラント治療を受けられない患者さんも多くいらっしゃいました。


「オールオンフォー」による即日治療は、下顎は4本、上顎でも4~6本のインプラントと本数の少ない最先端のインプラント治療法で手術当日からしっかり固定して、噛む機能と見た目の審美性を即日に回復できる究極の治療法です。
このようにオールオンフォーは、インプラント治療のデメリットといわれる「治療期間」「経済性」「審美性」「外科的侵襲」など、患者様にとってあらゆる負担を軽減した、まったく新しいコンセプトの治療法です。
- オールオンフォーのメリット
-
- 噛む力が大きくなり、よく噛めるようになる
- 固定されているので食事や会話に影響しない
- 顎骨の吸収を抑制できる
- 天然歯に近い見た目でできる
- 歯を多数一度に取り戻せる
- オールオンフォーのデメリット
-
- 外科手術が必要となる
- 術者の治療経験や技術が必要
- 保険外診療なので治療費用が高くなる
- 治療が適応できない症例もある
- メンテナンスが必要となる
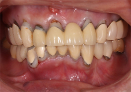
インプラントブリッジの症例写真
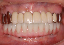
ALL-ON-4(オールオンフォー)の症例写真
当院では、All-on-4の治療症例数・実績が豊富であり、常に技術の向上をするために、勉強会や講演会など幅広く出席しております。
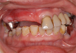
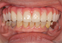
上顎のALL-ON-4①(抜歯即時の症例)
-
- 主訴
- 上の歯が悪くしっかりかめない
-
- 治療内容
- 上顎右側に残っていた歯の根及び上顎左側に残存していたが、歯周病により動揺があった歯の抜歯を行い、合計6本のインプラントの埋入を行い、ネジ固定式の上部構造を装着した
-
- 治療費用
- 上顎ALL-ON-4:4,000,000円(税別)
-
- 治療期間
- 6ヶ月
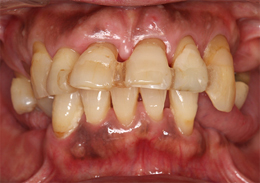
上顎のALL-ON-4②(ノーベルクリニシャンを使用したフラップレス術式)
フラップレス術式は、メスを使用しない無切開手術(フラップレス術式)です。
手術前の精密検査(CT撮影)によって顎骨の状態を正確に把握し、3Dコンピューターシミュレーション(ノーベルクリニシャン)による診断でインプラント埋入部位の詳細な治療計画が立てられるため、一般的なインプラント手術で必要となる切開・剥離・縫合のステップが省略できるため、短時間での手術が可能になります。
そして、出血もほとんどなく術後の腫れや痛みを軽減できるため、患者様の身体的負担を軽減できる低侵襲な最新のインプラント術式です。
-
- 主訴
- 歯周病で歯がグラグラするので噛めない
-
- 治療内容
- 上顎に残存していた歯を抜歯。歯肉の治癒後にフラップレス手術にてインプラント埋入を行い、その場で準備してあった上顎上部構造を仮歯として、ねじ固定式で装着
-
- 治療費用
- 上顎ALL-ON-4:4,000,000円(税別)
-
- 治療期間
- 6ヶ月
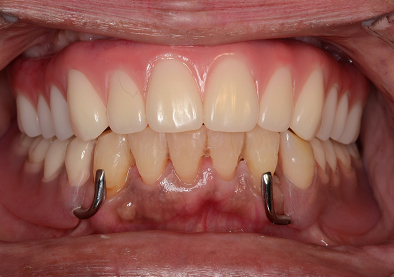
下顎のALL-ON-4①(下の歯のオールオンフォー)
-
- 主訴
- もともと入っているインプラントの周りが腫れ、残りの歯も動いているので力が入らない
-
- 治療内容
- 下顎右側に以前埋入したインプラントの撤去を行い、歯周病の進行が著しかった残存歯の抜歯を行うと同時にインプラントの埋入を行い、当日仮歯を装着した
-
- 治療費用
- 下顎ALL-ON-4:4,000,000円(税別)
-
- 治療期間
- 6ヶ月




















