
![]()
CT・3Dコンピューターシミュレーション
CT検査について


インプラント治療をする前の検査として、一般的にはレントゲン撮影による術前診査が行われておりますが、それだけではインプラント治療の術前検査としては完璧ではありません。
これはインプラント手術では、神経管や血管の位置や骨幅、骨質などを正確に診査・診断する必要があり、安全で正確なインプラント治療を行うにはCT撮影は必要不可欠です。
CTによる精密検査の結果、最終上部構造(歯の冠の部分)の位置の想定、不必要な骨移植・骨造成の回避、そしてフラップレス術式(歯肉を切らない治療法)やイミディエイト術式(即時インプラント)が適応できるかどうかの判断を詳細に行えるため、お一人お一人に最適で理想的な治療計画を立てる際の大きな判断材料となります。
沼澤デンタルクリニック小金井では、院内に歯科用CT(ファインキューブ)を導入しているため、迅速で的確なCT撮影が可能ですので、ご安心してインプラント治療をお受けになれます。
安全・確実なインプラント治療のための3Dコンピューターシミュレーション



インプラント治療をより安全・確実に行うために、CT検査のデータを基にコンピュータにて3D治療シミュレーションを行います。
沼澤デンタルクリニック小金井で使用しているコンピュータシミュレーションシステムは、ノーベルクリニシャンシステムを起用しています。
ノーベルクリニシャンは、治療計画からインプラント埋入まで、正確にサポートできるシステムですので、低侵襲な外科手術が行えるメリットがあります。
以前テレビ局で放送されていたドラマの中に、天才心臓外科医が手術前にイメージトレーニングを行っている様子があったのを覚えている方もいらっしゃると思います。
このコンピュータシミュレーションは、頭の中で行っていたイメージトレーニングを、コンピュータ上で実際の患者様のCTデータから精密な口腔状態を3Dで作り出し、コンピュータ内で事前に疑似手術(イメージトレーニング)を行うことができるというものです。
お一人お一人に理想的なインプラント治療を提供するために、当院では全てのインプラント治療で使用しております。
このことからも私たちの安全性・正確性への「こだわり」がお分かりいただけると思います。
インプラント治療を安全・確実に行うためのガイデットサージェリー

ガイデットサージェリーとは、CTの情報を元にノーベルクリニシャンを用いてコンピュータシミュレーションを行い、手術用のテンプレート(サージカルテンプレート)を装着し手術することです。
これにより、より安全に確実なインプラント治療を行うことができます。
また、ピンポイントでベストな位置にインプラントを埋入することが可能となりますので、より患者負担の少ない低侵襲治療には欠かせないシステムです。
3Dコンピューターシミュレーションを起用したケース写真
ショートインプラントを用いたシミュレーション
ショートインプラントは、骨移植や骨造成を行わずに治療ができ、身体的負担の軽減、治療期間の短縮、そして経済的な治療法です。
-

- インプラント治療前
-

- 3Dコンピューターシミュレーションにて設計
-

- インプラント埋入後のレントゲン写真
-

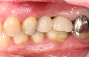
- 治療後
-
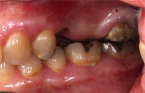
- 主訴
- 左上ブリッジの支台であった左上5を歯根破折でばっしとなり左上56の欠損となった
-
- 治療内容
- 抜歯から3ヶ月の治癒期間を経てCT撮影を行った結果、通常であれば上顎洞挙上手術の対象となるケースが多いが、ショートインプラントを用いることで大規模な骨造成お回避できることがわかった。2本ショートインプラント埋入
-
- 治療費用
- 900,000円(税別)
-
- 治療期間
- 5ヶ月
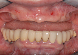
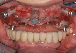
ガイデットサージェリーを用いたオールオンフォー
オールオンフォーとは、その日のうちに取り外しがいらない歯にすることができる全く新しいコンセプトとなるインプラントブリッジ法です。
-

- 抜歯から3カ月
-

- ガイデットサージェリー
-

- 術直後






