
![]()
骨を作るグラフト治療
グラフトとは

グラフトとは、骨の幅、量、高さなどが足りず、骨造成を行わないと治療ができない症例や高い審美性を確保する場合のために、骨移植(ボーングラフト)や骨造成(GBR)によってアゴの骨量を増やして厚くし、インプラント治療を行う術式です。
このグラフト術(骨移植・骨造成)を用いて、インプラント治療の設計を考えることをグラフトコンセプトといいます。
GBR法

GBRとは、GBR(Guided Bone Regeneration)、骨誘導再生法とも呼ばれます。
インプラントは、埋入する時には充分な骨の厚みと幅が必要なります。しかし、歯を抜いた後に長期間経過すると歯を支えていた骨の吸収が進んでしまいます。また、歯根の先が膿んでいる場合も同じように骨の吸収が進行します。
審美性を向上させるためにも骨造成を行い、ボリュームを持たせることもあります。
このようにGBR法は、十分な骨の厚みや幅がない場合や、審美性を高くする場合に、骨の厚みや幅を増やす手法です。
■ 2つのGBR法。
GBRを行う際には、以下の2つの方法があります。
- インプラント埋入前にGBRを行う手法
- インプラントを埋入する骨がほとんどない場合、事前に骨造成を行って骨の高さと幅を回復した上で埋入する方法。手術を2回に分けて行う。
- インプラント埋入時と同時にGBRを行う手法
- インプラントを埋入することはできるが、一部の骨量が不足している場合、埋入と同時に骨造成を行う方法。手術が一度で済む。
- GBR法のメリット
-
- 骨量を増やしインプラント治療を可能にします
- 審美性や安全性の向上につながります
- GBR法のデメリット
-
- 骨増生の費用が発生します
- 通院回数が増えたり治療期間が長くなることがあります
- 手法によっては手術回数が増えることがあります
ボーングラフト

ボーングラフト(骨移植)は、歯槽骨が吸収され骨幅が薄くなりインプラントが埋入できない症例の場合、自身の骨を口腔内の別の箇所から採取して足りない部分に貼り付ける手法です。
自身の骨を必要最低限切り取り、薄くなった箇所に移します。
- ボーングラフト法のメリット
-
- 骨量を大きく増やしインプラント治療を可能にします
- 審美性や安全性の向上につながります
- ボーングラフト法のデメリット
-
- 骨増生の費用が発生します
- 通院回数が増えたり治療期間が長くなることがあります
ソケットリフト

インプラント体を埋入するときに上顎の奥の骨が薄い場合、上顎の骨を少しだけ残してその骨ごと上顎洞を覆っている粘膜(シュナイダー膜)を持ち上げ、そこに骨を増やしてインプラントを同時に埋め込む方法です。
- ソケットリフト法のメリット
-
- 骨量を増やしインプラント治療を可能にします
- 審美性や安全性の向上につながります
- 骨増生手術の侵襲が少なくて済みます
- ソケットリフト法のデメリット
-
- 骨増生の費用が発生します
- 通院回数が増えたり治療期間が長くなることがあります
スプリットクレスト

骨の幅が足りない場合は、そのままインプラント埋入は出来ません。
歯周病や歯の喪失などが原因で、骨が必要な量よりもやせてしまっている場合には骨を増やすGBR法を行いますが、やはりインプラント本体が自家骨に囲まれていた方が安定し易いところもあります。
そのような時に、自身の細くなってしまった骨に専用の器具を入れて押し広げ、その間にインプラントを埋入する手法がスプリットクレスト法です。
- スプリットクレスト法のメリット
-
- 骨を広げてインプラント治療を可能にします
- 審美性や安全性の向上につながります
- 骨増生手術の侵襲が少なくて済みます
- スプリットクレスト法のデメリット
-
- 骨増生の費用が発生します
- 通院回数が増えたり治療期間が長くなることがあります
サイナスリフト

上顎には上顎洞と呼ばれる空洞が存在します。
この上顎洞から歯の部分までの骨の高さが不足している場合に、人工骨や自身の骨(自家骨)を移植することにより、インプラント埋入するために必要な骨の厚みを作り出す方法です。
- サイナスリフト法のメリット
-
- 骨量を増やしインプラント治療を可能にします
- 審美性や安全性の向上につながります
- サイナスリフト法のデメリット
-
- 骨増生の費用が発生します
- 通院回数が増えたり治療期間が長くなることがあります
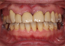
グラフトインプラントの症例写真
ボーングラフトインプラント(ブロック骨移植をし骨造成をしたインプラント)
ボーングラフトは、十分な量の骨が得られない場合に、骨をブロックで切り出し、移植することで必要な骨を作り出します。
-

- ①
-

- ②
-

- ③
-

- ④
-
- 主訴
- 上顎前歯の噛む時の痛み
-
- 治療内容
- 上顎前歯部を抜歯すると大きな骨吸収を予測したため、下顎臼後三角部より骨片を採取し、抜歯時にインプラント埋入と同時に骨造成を行なった
-
- 治療費用
- 800,000円(税別)
-
- 治療期間
- 5ヶ月
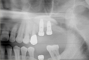
サイナスリフト
インプラント埋入前にサイナス部分にGBRを行い、骨が出来上がるのを待ってからインプラント治療を実施。
-

- 治療前の骨が足りていない状態
-

- サイナス部分にGBRを施し骨ができた状態
-

- 骨生成完了後インプラントを埋入し治療終了
-
- 主訴
- 上顎臼歯部の67欠損となり、上顎洞までの距離が不足したためインプラントの早期埋入が不可能であった
-
- 治療内容
- 上顎頬側よりラテラルウインドウ法で上顎洞底挙上術を行い2本のインプラントの埋入を行なった
-
- 治療費用
- 上顎洞底挙上術:150,000円(税別)、インプラント埋入1本:200,000円(税別)
-
- 治療期間
- 埋入手術までに6ヶ月






